Algunos cirujanos de retina están modificando su postura sobre el tratamiento de las moscas volantes en determinados pacientes sintomáticos.
(Este artículo fue traducido, adaptado e impreso con autorización exclusiva del grupo de revistas de Review de Jobson Medical Information. Su reproducción está prohibida).
Algunos cirujanos de retina están modificando su postura sobre el tratamiento de las moscas volantes en determinados pacientes sintomáticos.
Las moscas volantes son una queja frecuente de pacientes de todas las edades, a menudo causadas por la miopía en pacientes más jóvenes, y el desprendimiento vítreo posterior en personas mayores. Hasta hace poco, las moscas volantes vítreas no se consideraban algo que debiera tratarse, y los pacientes se limitaban a sobrellevarlas lo mejor que podían. Aquí, los especialistas en retina debaten el tema, a veces controvertido, acerca del tratamiento real de estas molestas, pero a veces debilitantes, opacidades.
Cambio de actitudes
"Históricamente, los oftalmólogos desestimaban las moscas volantes, y yo fui uno de esos médicos durante mucho tiempo", afirma el Dr. Jerry Sebag, FACS, científico jefe del Doheny Eye Institute/UCLA, en Pasadena. "Esto se debía a la falta de comprensión del origen de las quejas de los pacientes y a la falta de capacidad de medir clínicamente las cosas para caracterizar la afección como leve, moderada o grave. No disponíamos de esas herramientas y, por tanto, debíamos determinar si una persona que alegaba molestias por moscas volantes tenía razón o exageraba. Hace unos 15 años, empecé a escuchar a estos pacientes y empecé a creerles".
Figura 1. El cuerpo vítreo intacto de una niña de 9 meses sigue unido al segmento anterior tras la disección de la esclerótica, la coroides y la retina. El peculiar estado gelatinoso de este cuerpo vítreo mantiene su forma, a pesar de estar sobre una toalla quirúrgica y expuesto al aire ambiente.
"Me di cuenta de que tenemos que empezar a considerar las moscas volantes como una enfermedad en algunas personas", añade el Dr. Sebag. "Muchas personas tienen moscas volantes sin consecuencias; sin embargo, también hay muchas personas debilitadas por las opacidades que inducen las moscas volantes. Moscas volantes es un término que se utiliza mal; se utiliza erróneamente para referirse a estructuras dentro del ojo, pero las moscas volantes no son estructuras, sino un fenómeno visual creado por opacidades dentro del vítreo. Cuando utilizamos ultrasonidos para obtener imágenes de las estructuras internas del ojo que causan el fenómeno visual de las moscas volantes, empleamos el término 'ecodensidad'", añade.
Para aclarar aún más las cosas, el Dr. Sebag acuñó el término "miodesopsia que degrada la visión" para referirse a los pacientes que presentan moscas volantes vítreas clínicamente significativas.1 "Este término no se suelta fácilmente de la lengua, pero seguro que suena como una enfermedad. Y eso es lo que se necesita para estimular el cambio de paradigma en nuestra percepción, que debe producirse si queremos ayudar a las personas que están afligidas, en muchos casos gravemente", afirma el Dr. Sebag.
En colaboración con ingenieros acústicos de Nueva York y el Dr. Alfredo Sadun, del Doheny Eye Institute, de Pasadena, el Dr. Sebag desarrolló unos parámetros que ahora utiliza de forma rutinaria para evaluar a los pacientes que se quejan de moscas volantes. El primer parámetro mide la densidad del vítreo mediante ultrasonido cuantitativo.2 "El ultrasonido solía ser un bastión para evaluar el ojo, pero desde el surgimiento de la tomografía de coherencia óptica la gente tiende usarla en lugar del ultrasonido para obtener imágenes de las estructuras internas del ojo. La OCT es excelente para la retina, pero deficiente para evaluar el vítreo, por lo que el ultrasonido ha llenado ese vacío. Hemos trabajado con ingenieros acústicos para desarrollar modos de cuantificar las imágenes de ultrasonido para evaluar la gravedad de los cambios estructurales dentro del cuerpo vítreo que causan el fenómeno visual de las moscas volantes", añade.
El otro parámetro útil era para medir la sensibilidad al contraste.3,4 "Aunque esto está disponible desde hace muchos años, los oftalmólogos no suelen hacer esa prueba de forma rutinaria. En su lugar, nos basamos en la agudeza visual para mensurar la salud ocular de la persona. Aunque es útil para evaluar algunas enfermedades, no sirve para evaluar el impacto visual de las opacidades vítreas. Sin embargo, la sensibilidad al contraste es muy útil para medir el impacto de las opacidades vítreas en la visión y para explicar por qué la gente está tan fastidiada", dice el Dr. Sebag.
Tratamiento
Según la doctora Jennifer I. Lim, directora del Servicio de Retina de University of Illinois Health, existen dos escuelas de pensamiento sobre el tratamiento quirúrgico de las moscas volantes. La primera es una vitrectomía central en la que se extraen el gel vítreo y cualquier opacidad visible. La segunda es la vitrectomía completa con la creación de un DVP. "Realizo vitrectomías completas e induzco un DVP, si no hay uno ya", dice.
Figura 2. La biomicroscopía preestablecida del cristalino del ojo izquierdo de un paciente con desprendimiento vítreo posterior muestra la corteza vítrea posterior (flechas negras) separada del polo posterior (el disco óptico y los vasos sanguíneos retinianos se ven a la izquierda). La configuración "sigmoidea" del cuerpo vítreo colapsado se debe a los efectos de la gravedad sobre el cuerpo vítreo superior, haciendo que descienda inferiormente.
La Dra. Lim menciona que las moscas volantes se originan en algunos pacientes muy miopes o con otras anomalías vítreas, por degeneración y licuefacción del vítreo. "En el otro grupo de pacientes, en los que se ha producido el DVP, las moscas volantes se deben al colapso del gel vítreo y a las opacidades en el interior del gel", explica. "Las moscas volantes pueden ser el resultado de la liberación de tejido/sangre/pigmento a medida que el vítreo se separa de la retina subyacente y también pueden ser el resultado de un desgarro retiniano o de un desprendimiento de retina, si se produce durante el DVP del paciente. Por supuesto, los riesgos de inducir un desgarro retiniano son mayores cuando se crea un DVP quirúrgicamente, especialmente en ojos muy miopes con retinas finas. Sin embargo, si no se induce un DVP, con el paso del tiempo, ese paciente acabará desarrollando un DVP y, cuando lo haga, desarrollará moscas volantes, además de correr el riesgo de sufrir un desgarro retiniano o un desprendimiento de retina en ese momento. Por eso me gusta crear el DVP en el quirófano, donde está muy controlado, y luego no tener que preocuparme de que el paciente se someta a un DVP en el futuro y vuelva a tener moscas volantes."
El Dr. Sebag lo ha estudiado y ha descubierto que solo se produce en el 14,1% de las personas que se han sometido a una vitrectomía limitada sin inducción intraoperatoria de DVP.5 Ninguno de esos casos desarrolló desgarros ni desprendimientos de retina.
La Dra. Lim añade: "una vez que navegamos por los aspectos psicosociales y de exploración física, es un procedimiento razonable. Estoy muy satisfecha de que a mis pacientes les vaya bien". Esto incluye tanto a los pacientes mayores con DVP como a los más jóvenes que sólo tienen el vítreo licuado y a los que les molestan mucho las moscas volantes. Algunos de ellos – que tienen moscas volantes en ambos ojos –, después de operarse un ojo, quieren operarse también el otro porque están muy contentos de no tener moscas volantes. Tengo pacientes que llevan varios años operados y están bastante satisfechos con el resultado."
Figura 3. El ultrasonido B-scan demuestra un desprendimiento vítreo posterior y ecodensidades vítreas centrales. Ambos interfieren en la transmisión de fotones a la retina, lo que provoca una degradación de la sensibilidad al contraste debido a la dispersión de la luz.1 La gran ecodensidad de la parte superior de esta imagen podría ser susceptible de vitreolisis con láser YAG, mientras que el resto de densidades y la corteza vítrea posterior probablemente se traten mejor mediante vitrectomía.
Si un paciente tiene cataratas y moscas volantes vítreas, realizo un caso combinado y le pido a un cirujano del segmento anterior que remueva la catarata. A continuación, realizo la vitrectomía para las moscas volantes.
El procedimiento de elección del Dr. Sebag es la vitrectomía limitada. "Dejo intactos 3 o 4 mm de vítreo gelatinoso detrás del cristalino para mitigar la formación de cataratas; si el paciente no tiene DVP, no se lo induzco quirúrgicamente para minimizar los riesgos de desgarros y desprendimientos retinianos, pero también para limitar el aumento de los niveles de oxígeno intravítreo que se produce tras la vitrectomía", dice. "Es el aumento de O2 en el vítreo lo que provoca los cambios en el cristalino que dan lugar a la formación de las cataratas. Así, la vitrectomía limitada se desarrolló en reconocimiento del hecho de que la vitrectomía para las moscas volantes debía ser lo más segura posible. Para aumentar el perfil de seguridad, evité inducir un DVP y esperaba que, como resultado, la incidencia de desgarros y desprendimientos de retina fuera menor. Resulta que esto solo ocurre en el 1,5% de los casos, lo que significa que la vitrectomía limitada es segura en un 98,5%", afirma.
En 2018, publicó un estudio de 195 sujetos que fueron tratados con vitrectomía limitada.6 Este estudio obtuvo un alta tasa de éxito, según lo determinado por ultrasonido cuantitativo y la medición de la sensibilidad al contraste. “Con respecto a esto", dice el Dr. Sebag, "en 139 casos consecutivos que antes de la operación presentaban una degradación media de la sensibilidad al contraste del 91% en comparación con los controles, la sensibilidad al contraste se normalizó en todos los casos una semana después de la vitrectomía limitada, y se mantuvo durante meses y años". La cirugía de cataratas solo fue necesaria en el 16,9% de los casos, y los desprendimientos de retina solo se produjeron en el 1,5% de los casos.
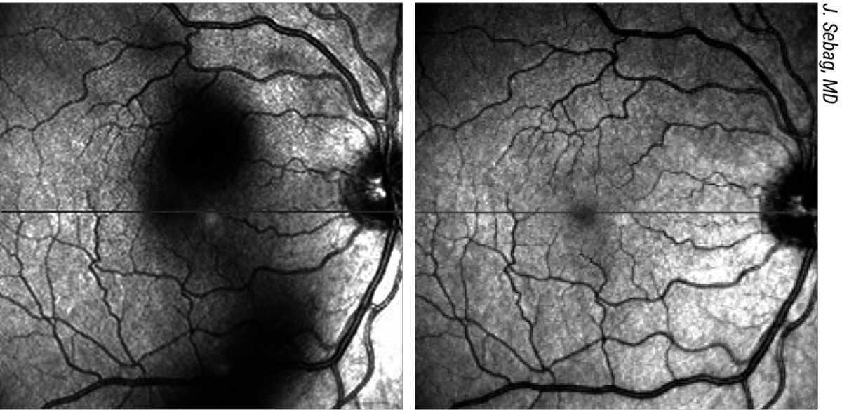
Figura 4. Las opacidades del cuerpo vítreo proyectan sombras sobre la retina (imagen a la izquierda) que los pacientes perciben como "moscas volantes". Éstas se desplazan con el movimiento de la cabeza y las sacadas oculares, mostrando una dinámica de movimiento característica ("retraso" y "rebote") debido a las propiedades viscoelásticas del vítreo. Tras una vitrectomía limitada, el vítreo central está limpio (imagen a la derecha), cesan los síntomas de moscas volantes y se normaliza la sensibilidad al contraste.6-8
"Además, los pacientes se quedaron muy contentos; también documentamos que el ultrasonido cuantitativo era significativamente mejor en esta serie de pacientes", añade el Dr. Sebag. "Las tasas de complicaciones fueron muy aceptables. Este estudio demostró que la vitrectomía limitada fue muy eficaz y segura".
Los estudios también han demostrado que, después de la vitrectomía limitada en pacientes descontentos tras la cirugía de cataratas con implantación de LIO multifocal, la sensibilidad al contraste mejoró, a pesar de la lente intraocular multifocal.7 Por lo tanto, el Dr. Sebag recomienda la evaluación vítrea en pacientes descontentos con la pseudofaquia multifocal, y que se considere la vitrectomía limitada para estos pacientes.
Ha realizado más de 300 vitrectomías limitadas en todo tipo de pacientes. "Hasta ahora, la vitrectomía limitada ha resultado más rentable que el tratamiento de la ambliopía, la cirugía de cataratas y la reparación del desprendimiento de retina"8, afirma.
La vitreolisis con láser YAG (YLV) es una alternativa a la vitrectomía porque la cirugía no es para todo el mundo. "A pesar de haber sido muy escéptico respecto a la YLV en el pasado, he abierto mi mente a la posibilidad de que ejerce su rol en ciertos casos", dice el Dr. Sebag. "Si bien la YLV lleva años realizándose en todo el mundo, no ha sido adoptada por la comunidad de cirugía vitreorretiniana. La están haciendo oftalmólogos generales, y me pregunto si podría ser adoptada por la comunidad vitreorretiniana y quizá realizarse con mayor precisión y eficacia si se pudiera demostrar que es efectiva en un subgrupo de individuos."
Figura 5. Imagen del anillo de Weiss mediante ultrasonido (a la izquierda) y fotografía de fondo de ojo (centro).
La imagen de la derecha muestra el anillo de Weiss dentro de la corteza vítrea posterior desprendida.
Cree que la YLV tendrá cierto éxito, pero no en todos los pacientes. "La razón es que hay más de una causa para la miodesopsia que degrada la visión y las moscas volantes vítreas", señala. "La principal causa es el DVP que suele darse en individuos de edad avanzada. Creo que para esos individuos el láser YAG no resultará eficaz, excepto para el subconjunto de personas que tienen un anillo de Weiss incómodo o una opacidad vítrea central particularmente prominente, para los que la YLV podría ser eficaz, al menos subjetivamente por la evaluación del cuestionario y, quizás, también por las mediciones de sensibilidad al contraste.”
Cree que los pacientes con vitreopatía miópica, que es la segunda causa principal de moscas volantes vítreas y de miodesopsia que degrada la visión,9 pueden ser buenos candidatos para el tratamiento con láser YAG. "Estas personas tienden a ser más jóvenes y no tienen DVP, por lo que esos pueden ser los individuos que deben ser tratados con láser YAG. Actualmente, estamos realizando un ensayo clínico prospectivo de YLV y esperamos comunicar los resultados en un futuro no muy lejano", afirma.
El futuro
Actualmente, se están estudiando otras tecnologías para el tratamiento de las moscas volantes vítreas. "Los láseres de picosegundo y femtosegundo pueden resultar más eficaces que el láser YAG, sobre todo si el tratamiento puede localizarse con una guía de imagen 3D de la energía láser", dice el Dr. Sebag. "Eso también ayudaría a la YLV, pero con láseres más potentes, probablemente podremos ablacionar las opacidades en lugar de simplemente romperlas, que es lo que ocurre ahora con el láser YAG. La vitreolisis farmacológica también puede desempeñar un papel importante en la descomposición química de los agregados de colágeno que se encuentran en el cuerpo vítreo y que provocan las sombras que dan lugar al fenómeno visual de las moscas volantes y a la degradación de la sensibilidad al contraste. Me entusiasma la posibilidad de desarrollar fármacos e inyectarlos en el cuerpo vítreo para tratar las moscas volantes vítreas y la miodesopsia que degrada la visión.
"Tras la reciente experiencia con los anti-VEGF", prosigue el Dr. Sebag, "todos nos sentimos cómodos inyectando fármacos en el cuerpo vítreo, por lo que no sería tan difícil conseguir que la comunidad aceptara la vitreolisis farmacológica como paradigma de tratamiento de la miodesopsia que degrada la visión. Necesitamos desarrollar los fármacos adecuados y utilizarlos a la dosis adecuada, por lo que hay que trabajar mucho en ese sentido."
En la Universidad de Gante (Bélgica) se está desarrollando otro método que utiliza nanopartículas diseñadas específicamente para adherirse a las opacidades del cuerpo vítreo que causan las moscas volantes y la miodesopsia que degrada la visión10. "Tras inyectar las nanopartículas, se utiliza un láser de baja energía para tratar el cuerpo vítreo – que no tiene que estar dirigido porque las nanopartículas se adhieren químicamente a las opacidades y absorben preferentemente la energía del láser – creando nanoburbujas localizadas que rompen las membranas y los agregados de colágeno que causan las moscas volantes y la miodesopsia que degrada la visión", explica el Dr. Sebag. "Se ha desarrollado in vitro y se ha probado en conejos in vivo.10 Se ha demostrado que los niveles de energía láser que se requieren son 1.000 veces inferiores a los que se utilizan actualmente para la YLV. Me gustaría que se desarrollara más para el tratamiento de pacientes con moscas volantes vítreas".
Además, existe un enfoque óptico. “Si comprendiéramos la óptica y la física de cómo interactúa la luz con las estructuras del cuerpo vítreo que causan las moscas volantes e inducen la miodesopsia que degrada la visión11 , tal vez podría corregirse con un aparato óptico que contrarrestara los efectos adversos de la dispersión de la luz que degradan la sensibilidad al contraste". Si neutralizamos eso, quizá podamos disminuir los síntomas y reducir el impacto mediante un tratamiento óptico", afirma el Dr. Sebag.
El Dr. Sebag concluye: "No es frecuente encontrarse con una necesidad médica insatisfecha, en la que el simple hecho de abrirse la mente y el corazón no solo abre nuevas vías diagnósticas y terapéuticas, sino que resuena en los pacientes". Se sienten ignorados, despreciados, a veces incluso insultados, por el enfoque que hemos adoptado hasta ahora. Pero, como siempre ocurre con el aumento del conocimiento y la buena ciencia, nos armamos con las herramientas que nos ayudarán a comprender la difícil situación de nuestros pacientes y nos permitirán desarrollar mejores formas de evaluar lo que les ocurre, así como maneras más eficaces y seguras de tratarlos."
La Dra. Lim no tiene intereses económicos que revelar.
El Dr. Sebag tiene intereses de propiedad intelectual en las patentes del ultrasonido cuantitativo y la terapia con nanoburbujas.
Referencias:
-
Sebag J. Vitreous and vision degrading myodesopsia. Prog Retinal Eye Res 2020;100847.
-
Mamou J, Wa CA, Yee KM, et al. Ultrasound-based quantification of vitreous floaters correlates with contrast sensitivity and quality of life. Invest Ophthalmol Vis Sci 2015;56:1611-1617.
-
Garcia G, Khoshnevis M, Yee KM, Nguyen-Cuu J, Nguyen JH, Sebag J. Degradation of contrast sensitivity following posterior vitreous detachment. Am J Ophthalmol 2016;172:7-12.
-
Garcia G, Khoshnevis M, Nguyen-Cuu J, et al. The effects of aging vitreous on contrast sensitivity function. Graefe’s Arch Clin Exp Ophthalmol 2018;256:919-925.
-
Boneva SK, Nguyen JH, Gui W, et al. Recurrent floaters following limited vitrectomy for vision degrading myodesopsia. Retina 2023;43:1114-1121.
-
Sebag J, Yee KMP, Nguyen JH, Nguyen-Cuu J. Long-term safety and efficacy of limited vitrectomy for vision degrading myodesopsia resulting from vitreous floaters. Ophthalmology Retina 2018;2:881-887.
-
Nguyen JH, Yee KMP, Nguyen-Cuu, et al. Vitrectomy improves contrast sensitivity in multifocal pseudophakia with vision degrading myodesopsia. Am J Ophthalmol 2022;244:196-204.
-
Rostami B, Nguyen-Cuu J, Brown G, et al. Cost-effectiveness of limited vitrectomy for vision degrading myodesopsia. Am J Ophthalmol 2019;204:1-6.
-
Nguyen JH, Nguyen-Cuu J, Mamou J, et al. Vitreous structure and visual function in myopic vitreopathy causing vision degrading myodesopsia. Am J Ophthalmol 2021;224:246-253.
-
Sauvage F, Nguyen VP, Li Y, et al. Laser-induced nanobubbles safely ablate vitreous opacities in vivo. Nature Nanotechnology 2022;17:552-559.
-
Paniagua-Diaz A, Nguyen JH, Artal P, Sebag J. Light scattering by vitreous of humans with Vision Degrading Myodesopsia from floaters. Invest Ophthalmol Vis Sci 2024 (In Press).





